Techno-clinical Team-Results

My experience is that a true techno-clinical team uses the skill sets developed by each team members strength and then collaborate together in a collegial fashion to arrive at a patients desired outcome. Over the years I have been fortunate to have interacted in this fashion with many client dentists.

Patients exhibits Class 3 malocclusion position. Also exhibits a closed centric/VDO position. Challenge of asymmetry of lip framing and a reverse curve occlusal plane.
Corrective action during the try-in evaluation stage involves opening the patient with wax blocks posteriorly and to establish facial/lip support by estimating where bone existed prior to car accident injury. Rather than compensate for lip asymmetry the decision was made to go where the teeth existed prior. Finding a pleasant showing of teeth and addressing phonetic issues is accomplished clinically. Initial positioning for evaluation was accomplished by setting teeth to a standard default position established by landmark measurements. Other challenge includes finding the natural vertical rest position.
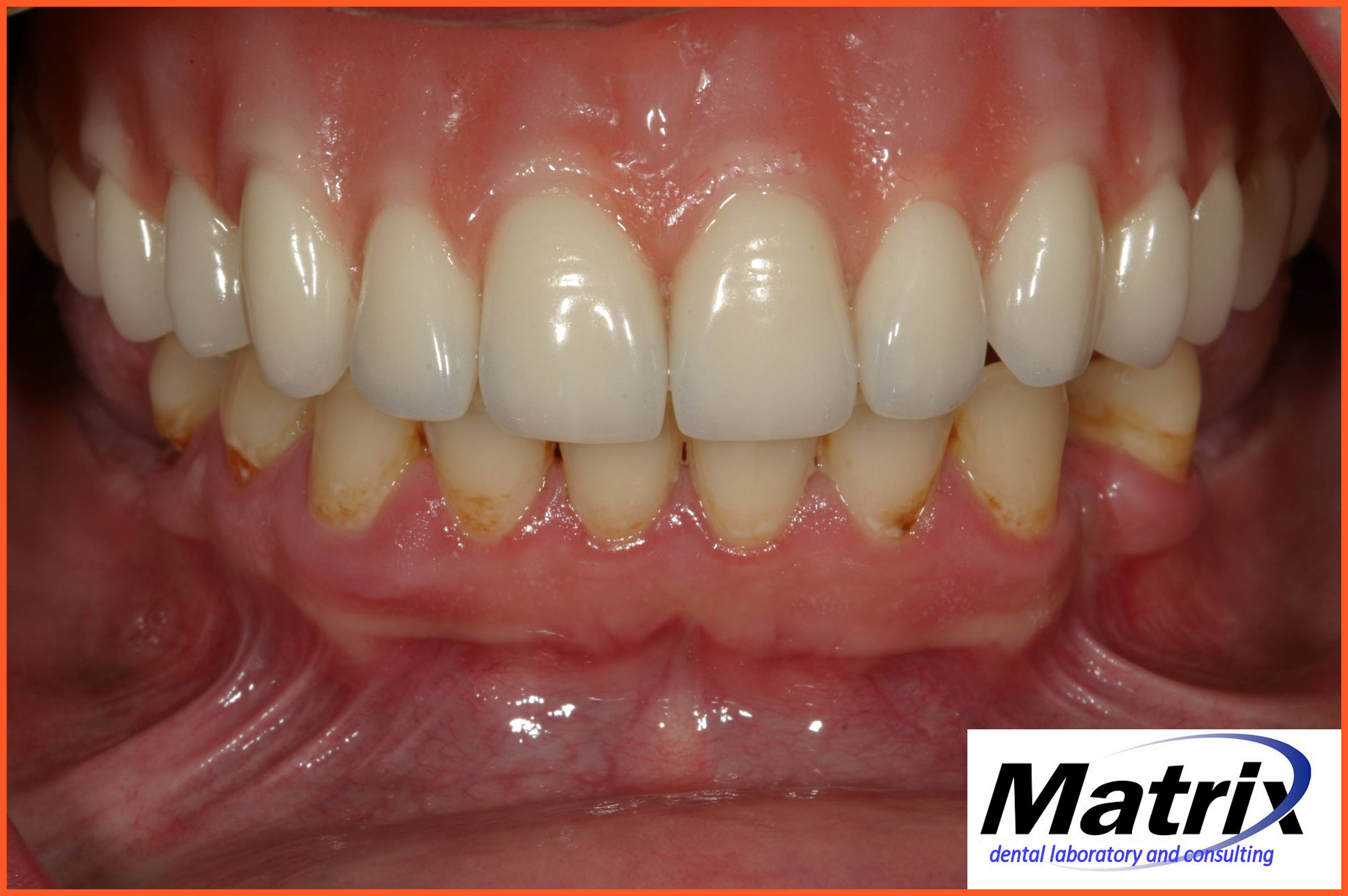
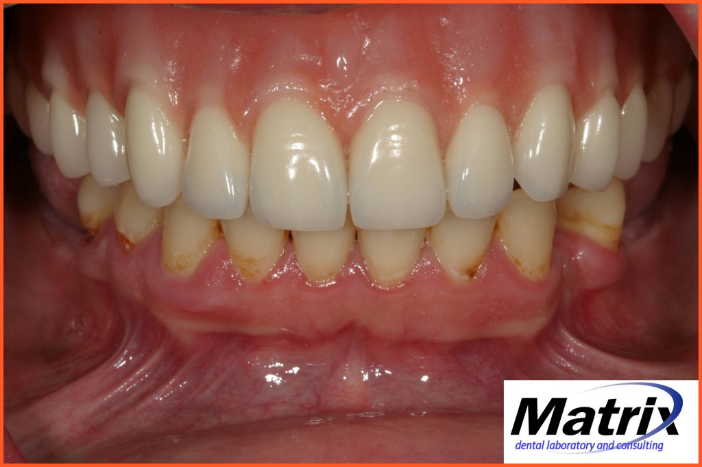
Final denture addressing the issues that prevented normal function and esthetics. Corrective measure to reposition and to correct and establish occlusal/incisal curve, Class 1 orientation, and re-establishment of VDO.
Anatomic foundation for teeth assures that the prosthetic is comprehensive in the treatment. Colorization secures the position that this is more than acrylic with teeth placed on it. It also aids my belief in the philosophy of “subliminal acceptance” by the patient.

For inquiries:

Matrix Dental Laboratory and Consulting zaleske@gmail.com 630-531-8197

Leave a comment